O femeie care a fost operată în urmă cu 30 de ani trăieşte de atunci cu un ac în interiorul corpului, situat în zona genitală, despre care nu a ştiut până acum şase ani, când i s-a făcut rău, scrie Ziarul de Iasi. În 2013 s-a adresat Colegiului Medicilor din Iaşi, câţiva ani mai târziu a primit un răspuns şi de la Colegiul Medicilor din Bucureşti, ambele răspunsuri indicând că nu este vorba despre o eroare medicală, ci că femeia ar fi înghiţit singură un ac.
Problemele au început în anul 1990, când din cauza unei sarcini extrauterine cu peritonită, i-au fost extirpate o trompă şi un ovar, fiind operată de dr. Doina Iancu, de la Maternitatea „Elena Doamna“, care „a intrat în panică, fiind peritonită“, femeia bănuind că acul i-a fost uitat în urma intervenţiei chirurgicale. „Când m-a deschis, a intrat în panică, m-a lăsat cu asistenta şi cu un doctor rezident şi «a fugit» după exprimarea asistentei, fiind anesteziată local, eu am auzit tot ce se vorbeşte. A venit după câteva minute cu un doctor mai în vârstă şi i-a explicat cu amănunte doamnei doctor Iancu cum să procedeze“, se menţionează în reclamaţia femeii către Colegiul Medicilor.
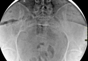
Aceasta mai povesteşte că în anul 2013 a căzut „amorţită, paralizată pe moment“, fiind dusă la Spitalul „Sf. Spiridon“, unde în urma unei radiografii s-a constatat că există un „corp străin ascuţit şi subţire“, vizibil foarte clar, confirmat şi de medicii de la alte două spitale unde a ajuns în acea seară, indicând că este „un ac medical care a migrat între oasele bazinului“. Femeia mai spune că aceasta a fost singura operaţie suferită în cursul vieţii şi că a mai fost consultată de alţi doi chirurgi care susţin că este vorba despre un ac chirurgical în abdomen. „Acum fac multe legături: de ce nu pot ridica, de exemplu la cumpărături sacoşa mai grea, de ce mă doare în zona lombară, de ce obosesc foarte repede şi mă aşez cu greu jos, de ce îmi amorţeşte destul de des mijlocul şi toată zona lombară şi pelviană. Oboseala ar putea fi de la Hepatita B sau diabetul de care sufăr, dar amorţelile, durerile lombară şi pelviană de unde? Şi toate aceste dureri de ani buni“, povesteşte femeia.
Reproducerea totală sau parțială a materialelor este permisă numai cu acordul expres al Botosaninews.ro.
© Copyright Botosaninews.ro | Gazduit de SpeedHost.ro | Realizat de DowMedia