Caz rar! O fetiță de opt ani din Botoșani i-a uluit pe medicii ieșeni. Avea o afecțiune specifică bătrânilor

14 noiembrie 2019

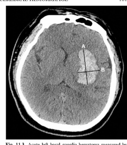
Fetiţa a fost dusă din Botoşani la Iași, zilele trecute, după ce a început să se simtă rău în timpul orelor de curs, acu­zând dureri de cap, senzaţie de vomă, intrând mai apoi într-o stare asemănătoa­re leşinului. La o unitate medicală din Botoşani s-a confirmat în urma investigaţiilor radiologice că este vorba despre un cheag de sânge şi a fost transferată la Iaşi pentru continuarea investigaţiilor. Aici medicii au descoperit că fetiţa are hipertensiune arterială, în ciuda vârstei mici, apoi i-au făcut analize pentru a vedea dacă este vorba despre malformaţii arterio-venoase, dar şi un RMN, însă nu s-a descoperit încă o eventuală cauză, scrie Ziarul de Iasi.

„Este un caz foarte ciudat, fiind un hematom care de obicei se întâlneşte la oameni vârstnici, de 80 de ani, pe fondul hiptertensiunii. Urmează de acum ca pediatrii să investigheze dacă este vorba despre stenoză de arteră renală. Momentan starea ei se ameliorează, însă a rămas deficitul motor din cauza cheagului“, au precizat medicii de la Spitalul de Neurochirurgie. Aceştia mai spun că în ultimii ani s-au prezentat mai multe cazuri de copii cu malformaţii ar­terio-venoase, existând şi cazul unui co­pil care la 14 ani a suferit un anevrism în timp ce juca fotbal. 

Fetiță de 8 ani din Botoșani, luată cu ambulanța de la școală. A fost transferată în stare gravă la Iași

Alte stiri

Lasă un răspuns

Adresa ta de email nu va fi publicată. Câmpurile obligatorii sunt marcate cu *

Reproducerea totală sau parțială a materialelor este permisă numai cu acordul expres al Botosaninews.ro.
© Copyright Botosaninews.ro | Gazduit de SpeedHost.ro | Realizat de DowMedia